27-04-2026 20:52
Lothar Krieglsteiner
Found on hanging tiwg of Olea europaea in dried-ou
27-04-2026 18:48
Tony MoverleyCollected 23rd April 2026, Norfolk, EnglandSwarms
27-04-2026 17:41
Lothar Krieglsteiner
.. Algarve, same leaf than the last post. The con
27-04-2026 18:05
Lothar Krieglsteiner
... still attached at standing tree. The green con
27-04-2026 17:16
Lothar Krieglsteiner
.. Algarve, moist lying.The conidiomata look like
27-04-2026 12:54
Steve ClementsBonjour. Ce petit champignon blanc résupiné et
27-04-2026 09:59
Pauline. PennaBonjour Can anyone advise me on these pycnidia fo
22-04-2026 20:54
Hi to everybody.This Pyrenopeziza grew in moist le
Helicogonium (?) on Olla transiens
Andgelo Mombert,
19-03-2020 11:36

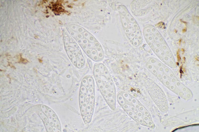
Bonjour,
Sur Olla transiens.
Ascospores : 6,5-8 x 3-3,7 µm.
Asques : 30-35 x 6,5-10 µm, octosporés, à sommet non amyloïde, sans crochet.
Merci d'avance pour votre aide.
Andgelo
Hans-Otto Baral,
19-03-2020 11:43
Re : Helicogonium (?) on Olla transiens
For sure it is! So not genetics but the parasite confirm a relationship of transiens with Olla :-)
Andgelo Mombert,
19-03-2020 11:47
Re : Helicogonium (?) on Olla transiens
Merci. Donc on distingue les Helicogonium avec l'ADN seulement ?
Andgelo
Hans-Otto Baral,
20-03-2020 07:46
Re : Helicogonium (?) on Olla transiens
What is ADN?
Did you see an apothecium which contains both types of asci here?
Did you see an apothecium which contains both types of asci here?
Andgelo Mombert,
20-03-2020 13:14
Re : Helicogonium (?) on Olla transiens
Bonjour,
ADN est la traduction francaise de DNA.
J'ai vu qu'un seul type d'asque, mais je n'ai fait qu'une seule préparation.

