17-03-2026 10:09
François Freléchoux
Bonjour, Voici la description rapide d'un petit d
17-03-2026 10:40
Martine Vandeplanque
Bonjour à tous.Chaque année en mars ou avril, il
12-03-2026 19:44
Hi to everybody.Can you give me any suggestions ab
05-03-2026 10:07
Hulda Caroline HolteHello, I found and collected this species growing
12-03-2026 15:45
Åge OterhalsDear forum,I found this small discomycete on a ver
11-03-2026 17:36
Michel Hairaud
Bonjour, Je cherche des indices pour cette réc
14-03-2026 13:51
Thierry Blondelle
Hi everybody Under Quercus ilex, i hesitate to na
08-03-2026 14:05
Thierry Blondelle
Bonjour à tous,Sur 3 récoltes supposées de H. l
Lichénicole sur Peltigera
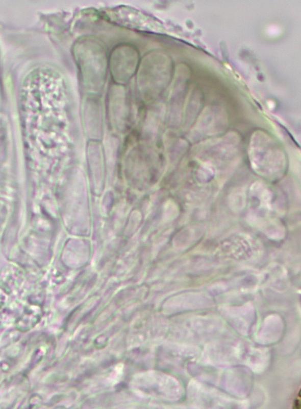
Andgelo Mombert,
02-02-2026 14:33
Bonjour,Sur le thalle de Peltigera praetextata, ne causant pas de dommages.
Apothécies cupuliformes, superficielles.
Ascospores 8,5-10 x 2,8-3,7 um, ellipsoïdes, uniseptées, hyalines, lisses, garnies de guttules.
Asques 30-35 x 7-9 um, claviformes, avec un épaississement apical, réagissant fortement à IKI, contenant huit spores obliquement bisériées.
Paraphyses : moniliformes, à apex clavé, à contenu olivâtre.
S'agit-il de Scutula miliaris ?
Merci d'avance pour votre aide.
Andgelo
Alain GARDIENNET,
02-02-2026 16:50
Re : Lichénicole sur Peltigera
Salut Andgelo,
Ca ressemble à un Bacidia, donc penser aux Scutula lichénicoles est une bonne option. J'opterais plutôt pour S. epiblastematica.
Ca serait bien qu'un spécialiste confirme, certains visitent Ascofrance.
Alain
Ca ressemble à un Bacidia, donc penser aux Scutula lichénicoles est une bonne option. J'opterais plutôt pour S. epiblastematica.
Ca serait bien qu'un spécialiste confirme, certains visitent Ascofrance.
Alain
Alain GARDIENNET,
02-02-2026 16:55
Re : Lichénicole sur Peltigera
Tu n'as pas vu d'anamorphe ? Ils sont de type soit Karsteniomyces soit Libertiella. Quand on les trouve c'est utile pour la détermination.
Je viens de trouver un doc, je te l'envoie.Alain
Je viens de trouver un doc, je te l'envoie.Alain
Andgelo Mombert,
02-02-2026 17:35
Re : Lichénicole sur Peltigera
Merci Alain, je vais regarder si je trouve un stade asexué.
Andgelo
Andgelo





