
21-10-2025 23:13
F. JAVIER BALDA JAUREGUIHello to everyone.Did you think it could, be a pyx

22-10-2025 14:45
Lukas VerboomDear all,I collected this in the Netherlands, on t

22-10-2025 11:13
Jean-Luc RangerBonjour, Petites boules plus ou moins sphériqu

21-10-2025 21:25
Philippe PELLICIERBonjour,J'ai récolté en septembre sur une litiè

17-10-2025 18:45

Hello, Found by Laurens van der Linde, Oct. 2025.

21-10-2025 21:34
Margot en Geert VullingsThis cup fungus was found on the ground in a damp

21-10-2025 04:52

I found what might be Chlorociboria aeruginella on

25-11-2016 13:54

Hi, I found numerous seeds of Washingtonia robusta
Dactylospora stygia?
Lukas Verboom,
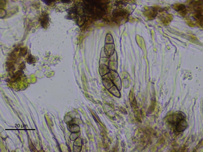
22-10-2025 14:45
I collected this in the Netherlands, on the base of Populus on wood among grass. The ascomata are up to 0.8 mm wide. The hypothecium is brownish, unchanging in K (pictures are in water). The hamathecium reacts blue with K/I, without a blue tholus.
Spores are brown, two-celled, 15.1-16.2 x 5.0-5.6 um (N=8). I did not measure more to save material, since I don't have much of it, only a few discs.
The spores seem to be slightly broader than Dactylospora stygia, but I can't find any better suggestion. It doesn't seem to be parasitic on anything.
Can anyone help me with a name? I collected Dactylospora on bark before, but that material had four-celled spores and was smaller than this.